NEWS CENTER
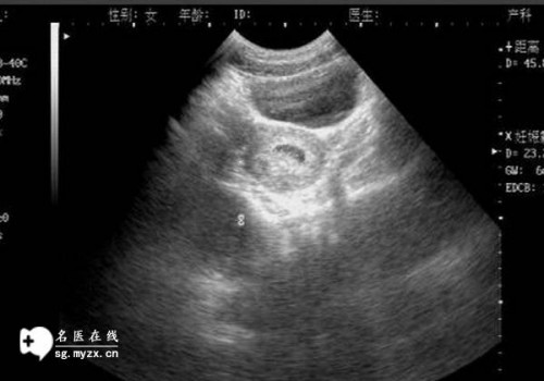
二代试管婴儿取卵后的第几天可以进行胚胎移植手术,主要还是与所移植的胚胎是鲜胚、囊胚还是冻胚有一定关系。一般来说,利用鲜胚进行移植的话,大概就在取卵后的第三到五天就可移植了;若是利用囊胚移植的话,大概在取卵后的第5-7天才可移植;若是冻胚移植的话,大概需要在取卵后出现3个正常周期后才可进行移植,大概就是在取卵后第84天后。
一般需要在5-7天进行囊胚移植,如果不符合新鲜周期移植的条件,那么第三个月经周期一般需要冷冻胚胎移植,囊胚需要体外培养5-6天,此时如果子宫内膜情况在10mm左右,没有腹水,激素水平难以稳定,可以直接移植,如果不符合移植的条件,一般需要冷冻,等子宫内膜条件好一点再移植,所以每个患者的移植时间是不一样的。
第二代试管是卵母细胞的胞质内精子显微注射,是在第一代试管的基础上发展起来的,即医生在显微镜下将精子注入卵母细胞,使其受精,培养,然后移植到女性子宫内的过程,一般来说,这项技术取卵后需要多长时间进行胚胎移植,主要取决于以下几个因素:

综上所述,二代试管取卵后囊胚移植的时间需要根据个人的实际情况来考虑,通常新鲜周期囊胚移植是在取卵后的第5-7天,当然也需要身体条件符合移植的要求。
Copyright © 2025 www.wuxianedu.com 无锡无限助孕公司 All rights reserved. XML